
CEREC is a unique CAD/CAM system for fabricating individualized all-ceramic porcelain restorations in one visit. CEREC enables the doctors at McDowell Dental & Aesthetics to deliver all-ceramic, highly esthetic inlays, onlays, crowns, and bridges for anterior and posterior teeth. This technology means there is only one visit, no temporaries, and no impressions needed! We have the latest CEREC machine, the CEREC Omnicam, which offers powder-free scanning and precise 3D images in natural color. CEREC enables our doctors to deliver minimally invasive, conservative dentistry with long lasting beautiful restorations.
CEREC Benefits:
- One visit
- No impressions
- No temporaries
- Metal-free
- Highly aesthetic
- Long lasting
What To Expect At Your CEREC Appointment At Our Office In Abington, PA:
- After removing the decayed tissue or the defective amalgam filling we create a 3D image of the tooth with the aid of the CEREC camera.
- The restoration is designed on the monitor of the CEREC acquisition unit.
- The CEREC milling unit machines the restoration out of a ceramic block.
- The milled restoration is then placed in an oven where it changes color and gains its strength.
- The final restoration is then bonded and cemented directly to your tooth.
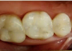
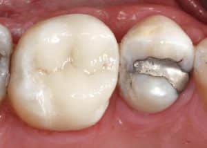
Real Results From Using CEREC Technologies




Will My Same-Day Porcelain Restoration Look Natural?
You can expect your single-visit restoration to look just like a natural tooth. CEREC® technology is fast and convenient without compromising strength or beauty. Every restoration is made to capture the nuances of a natural tooth, from its shape to its shade. Your dentist will take the utmost care in creating a crown that blends in seamlessly with surrounding teeth. The only person who may recognize that you have a porcelain restoration is your dentist!
How Long Can A CEREC® Crown Last?
A single-visit crown is made to fit extraordinarily well and to last for many years. People have had CEREC crowns that have lasted well over a decade. The average is 10 to 15 years, but with good care, it’s possible to enjoy prolonged protection from your well-made ceramic crown.
How Do I Care For A Single-Visit CEREC® Restoration?
One of the primary factors that will influence the long lifespan of your CEREC porcelain restoration is your oral care. Tips for taking the best care of your new restoration include:
- Brush and floss your teeth every day. Your new ceramic crown is impervious to decay. It won’t ever get a cavity. Still, you must maintain excellent brushing and flossing habits to keep the gum tissue around your crown as healthy as possible. Plaque and bacteria can still accumulate around any tooth, even one that has a crown. The acid from the bacteria can degrade gum tissue and allow debris to get under the crown.
- Refrain from eating very hard or sticky foods. When we say hard foods, we mean things like ice or very hard nuts or kernels. Chewing on hard foods can loosen the crown over time. Sticky foods like caramel can pull and tug on any crown, wearing down its tensile strength more quickly.
- Wear a mouthguard. Your crowns are investments that can provide years of rewarding benefits. This may require a bit of extra care. If you play contact sports, it’s wise to wear a sports guard. If you clench or grind your teeth, which usually happens during sleep, your dentist can craft a custom-fit night guard to insert before going to bed. If you’re not sure whether or not you clench or grind, talk to your dentist. Your teeth will tell us all we need to know!
Does Getting A Dental Crown Hurt?
If you need a dental crown, chances are you’re already in pain. Dental crowns are usually needed when a tooth has sustained a fair amount of damage, often due to a large cavity. Your dental crown procedure is intended to resolve your pain and stress, not cause it. Before beginning your single-visit restoration treatment, we’ll numb the area around the tooth with a local anesthetic. This eliminates all pain. What you’ll feel during the treatment process is pressure as your dentist works to remove the decayed material.
After receiving your crown and once the anesthetic wears off, the tooth or gums may feel sore. You can take an over-the-counter pain reliever to reduce the discomfort. It may be helpful to also eat softer foods until you’ve regained complete comfort after getting your CEREC crown.
For more information about CEREC in Rydal, Jenkintown, Horsham, Willow Grove, and Philadelphia, PA, call 215.885.0555 or fill out our contact form today!